Kois Deprogrammer Appliance
Introduction to the Kois Deprogrammer
Having a bite incompatible with the jaw joint and muscles can present serious issues for individuals as they attempt tasks considered mindless by many. These individuals may have difficulty chewing “harder” foods (i.e. carrots, bagels, nuts, gum), may have difficulty finding his or her bite, may experience facial pain and may incur increased wear to teeth resulting in the need for frequent dental treatment. Improving a patient’s bite can resolve many, if not all, of these issues but can be challenging for the dentist if the patient’s bite is difficult to manage. The Kois Deprogrammer, developed by Dr. John C. Kois, D.M.D., M.S.D, is a useful tool for dentists looking to provide such treatment.
What is a Kois Deprogrammer?
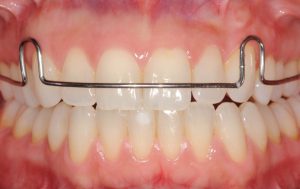
The Kois Deprogrammer is a removable, plastic appliance that covers the hard palate and creates a single point of contact between the lower central incisor and the anterior bite plane. Used for evaluating the stability of a patient’s bite, the Kois Deprogrammer is of invaluable assistance to dentists trying to locate a patient’s optimal jaw position or distinguish between the three types of abnormal occlusal attrition – Constricted Path of Closure (PCP), Occlusal Dysfunction and Parafunction (bruxism).
How does a Kois Deprogrammer work?
The Kois Deprogrammer prevents interlocking of the teeth and therefore allows the patient’s lower jaw to gradually relax and settle into an ideal position with relation to the teeth. A patient may be asked to wear the Deprogrammer for one week to one month so that enough time elapses for old muscle memory to be erased. The dentist will know this has occurred when the patient can reproduce, without guidance, the same point of contact as when wearing the Deprogrammer.
What are the benefits of a Kois Deprogrammer?
The benefits of a Kois Deprogrammer are vast and profound to both Doctor and patient. Doctors’ benefit from using a Kois Deprogrammer as the appliance is a simplified diagnostic tool for evaluation of occlusion. Patients that are successfully deprogrammed will experience an increased quality of life as a result of a more efficient bite position and may have less facial/joint pain as well as reduced incidences of worn, broken or loose teeth. The Kois Deprogrammer can be easily maintained by simply being cleaned, with toothpaste an d warm water, each time the teeth are brushed.
Recommended Laboratories for a Kois Deprogrammer:
- BonaDent Dental Labs: 2465 BonaDent Drive, Seneca Falls, NY 13148 (800) 732-6222
- Clear Advantage Dental Labs: 49 West Nyack Rd., Nanuet, NY 10954 (800) 245-7668
- Frontier Dental Lab: 4944 Windplay Drive, El Dorado Hills, CA 95762 (800) 790-3999
- Great Lakes Orthodontics: 200 Cooper Avenue, PO Box 5111, Tonawanda, NY 14150 (800) 828-7626
- Inman Orthodontic Laboratories, Inc.: 3953 NW 126 Ave., Coral Springs, FL 33065 (800) 289-0118
- J & J Dental Lab: 5100 Town Center Circle, Suite #106, Boca Raton, FL 33486 (561) 368-1553
- Pro-Art Dental Laboratory: 855 Broadview Avenue, Toronto, Canada ON M4K 3Z1 (416) 469-4121
- Protec Dental Lab: 38 E. First Ave., Vancouver, BC Canada V5T 1A1 (604) 873-8000
- Rory Dental Lab: 907 N. 130th Street, Seattle, WA 98133 (206) 364-7679


